Las resinas odontológicas, o composites dentales, son materiales sintéticos mezclados heterogéneamente y que forman un compuesto.. A continuación la definición sobre que es la resina en Odontología extraída de la investigación titulada Dental Composites - A Versatile Restorative material: An overview:. Las resinas dentales son una mezcla de dos materiales en el cual uno de los.. Es importante discutir con su odontólogo cuál es el mejor tipo de resina para su restauración dental. La elección de la resina adecuada dependerá de varios factores, incluyendo la ubicación y el tamaño de la restauración, la durabilidad requerida y la estética deseada. En cualquier caso, las resinas para odontología son una excelente.

Resina Dental Castable Anycubic 500g MakersChile

Resinas Dentales Clínica Dental

resina DENTAL ¿Sabe qué es la resina dental? Se lo contamos

¿Cuál es la diferencia entre Carillas de Porcelana y Carillas de Resina? OdontoVida

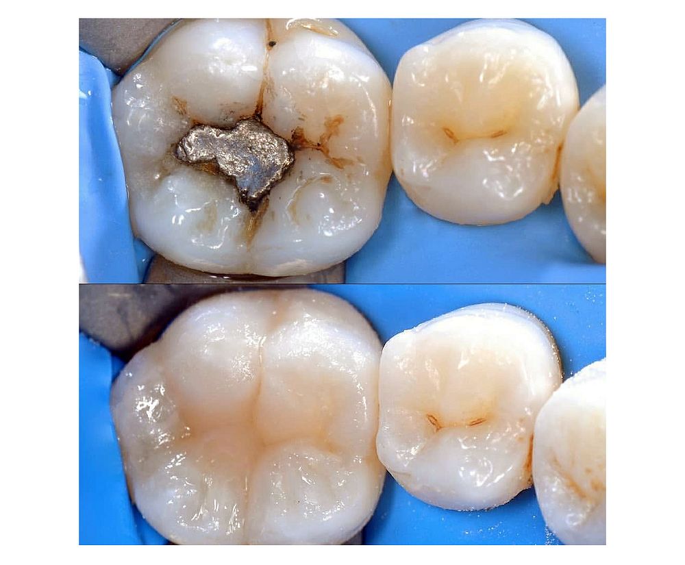
ESTÉTICA DENTAL Beneficios del cambio de amalgamas por resinas Directorio Odontológico

Resina inyectada/ Carillas de resina paso a paso YouTube

¿Qué es una resina dental? PeruDentus Clinica Dental en Huaraz

Que es una resina dental en 2021 Escuela de higiene dental, Resinas dentales, Odontología

¿Sabes qué es la resina dental? ¿Con qué se hacen las carillas en resina? YouTube

Resinas dentales

Resina Prime Dent Micro Hibrida Color A2 Dentist Depot

Resinas dentales, beneficios de la resina dental

Todo lo que debes saber de las resinas dentales

Coneixes la resina dental? Clínica Sant Marc

Descubre las cualidades del Cemento de resina Autoadhesivo mZem Plus de Medicaline Dentaltix

Resinas dentales Queretaro Dental Integral Baena

Coneixes la resina dental? Clínica Sant Marc

RESINAS DENTALES DE COLORES🦷 😱 CARIES DENTAL EN NIÑOS YouTube

Resinas dentales Queretaro Dental Integral Baena

Resina Clearfil APX ES2 Intro Kit Kuraray Dental PACKS
La resina dental es un compuesto que se utiliza en odontología para reparar y reconstruir dientes dañados. Es una alternativa popular a las amalgamas de plata tradicionales y al empaste de porcelana debido a su capacidad para adaptarse perfectamente al color y la forma natural del diente. Sin embargo, es más cara y puede requerir más.. Visitando a Dental Madeira regularmente. Si necesitas más información o una cita para tu valoración, no olvides enviarnos un email a: [email protected] o al WhatsApp: +52 (55) 3071-9101. Las resinas compuestas, o los empastes del color del diente, brindan una buena durabilidad y resistencia a la fractura.