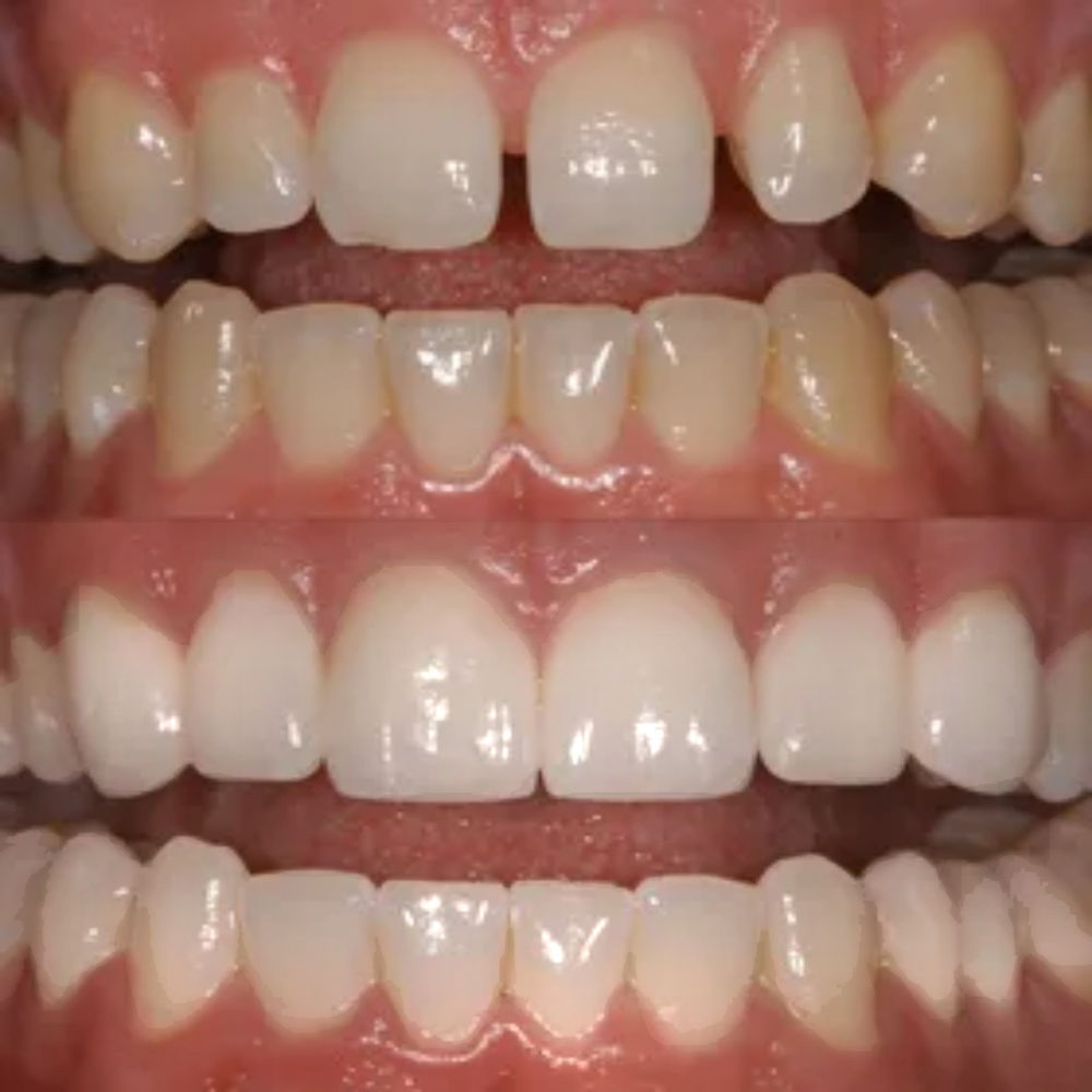
Faccette dentali estetiche: pro e contro. L'applicazione delle faccette dentali estetiche garantisce denti più bianchi e lucidi e la totale copertura di macchie e discromie permanenti.Dal punto di vista estetico, le faccette sono un intervento di ricostruzione non invasivo che assicura un miglioramento nell'aspetto del viso, poiché contribuisce a creare un sorriso più armonico e uniforme.. Inoltre, per quanto riguarda il suo costo, questa soluzione estetica è molto meno cara rispetto all'installazione di protesi dentali. Quanto costano le faccette dentali? Una faccetta in ceramica può costare dai 600 € ai 1.200 € nelle regioni del Sud Italia, e dai 1.200 € ai 1.700 € nelle grandi città del Nord.

Faccette dentali, cosa sono e a cosa servono

Cosa sono le Faccette Dentali?

Faccette Dentali Milano Bareggio Centro Odontoiatrico Frustagli

Faccette dentali cosa sono e come si applicano Dentista Roma Appia

Le faccette dentali Dental Narco

Faccette dentali cosa sono e quanto costano? iDent Roma

Cosa Sono Le Faccette Dentali E Come Vengono Realizzate Dental Minga

Faccette Dentali Sorridi, adesso puoi! Studio dentistico De Luca Cassandro

Faccette dentali cosa sono e quanto costano Dentista Roma Appia

Come funzionano le faccette dentali Studio Dentistico Sante Vassallo

Le faccette dentali Salute e benessere

Cosa sono le faccette dentali?

Faccette Dentali, cosa sono, pro e contro, come si mettono

Cosa sono le faccette dentali e come metterle a Sassari Lucariello Odontoiatria

Cosa sono faccette dentali vantaggi, svantaggi, durata Emanuele Cicero

Faccette dentali Dental Centar Ostojić

Quando è necessario mettere le faccette dentali? Tutto quello che c’è da sapere, dai vantaggi ai

Faccette dentali cosa sono? Ambulatorio Odontoiatrico RICHICHI

Le faccette dentali Sorriso & salute

Faccette dentali prima e dopo casi studio Studio Dentistico Ferrarini
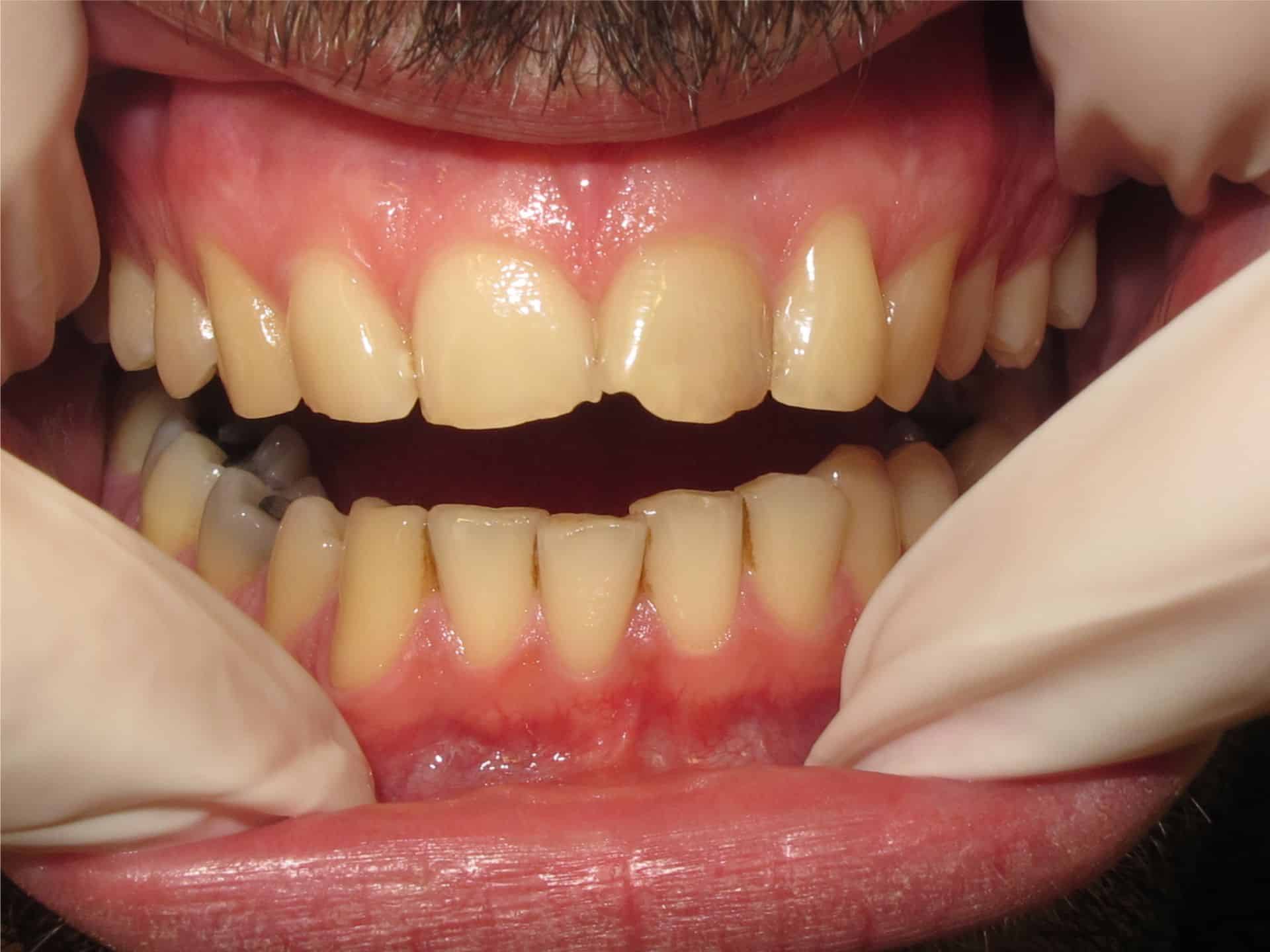
1.Che cosa sono Le faccette dentali dette anche faccette estetiche o faccette per i denti, sono delle lamine sottili, dello spessore di una lente a contatto, resistenti, composte da materiali ceramici come ceramica o da composito (il materiale con cui vengono create anche le otturazioni) o da di-silicato di litio, un materiale molto resistente. Le faccette dentali sono involucri, che vengono.. Quali sono le controindicazioni delle faccette dentali? Il costo è di norma considerato la controindicazione maggiore che viene da pensare in relazione alle faccette dentali. Inoltre, alcuni pazienti hanno lamentato la durata non eccessiva delle faccette, che come ricordiamo è fissata intorno ai 10 anni.